Vai ai contenuti
WWW.CHRISTIAN MONTI. IT
Laureato in Odontoiatria e Protesi Dentaria
Medico Dentista SSO/STMD
Video Free
christianmonti.it
Salta menù
×
Home Page
Profilo
Collaboratori
Corso implantologia Albania
Didattica
▼
Corsi 2025
Corsi 2024
Corsi 2023
Corsi 2022
Corsi 2021
Corsi 2020
Corsi 2019
Archivio Corsi
Foto Corsi
Video Corsi Anatomia
Video Free
Casi Clinici
Servizi
▼
Medicina del Prof. Pierpaoli
Link
download
Termpo Libero
▼
Profilo
Mondo sommerso
Contatti
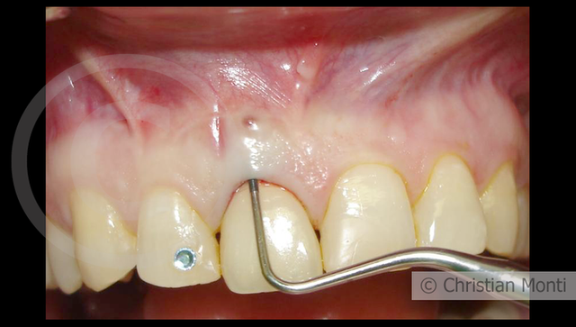
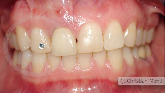
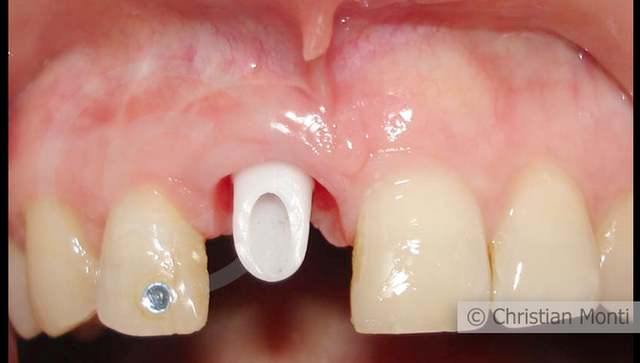
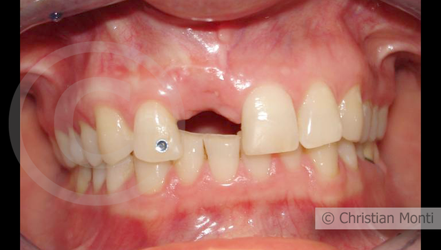
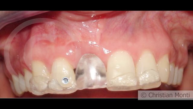
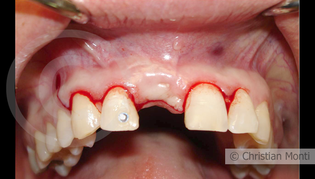
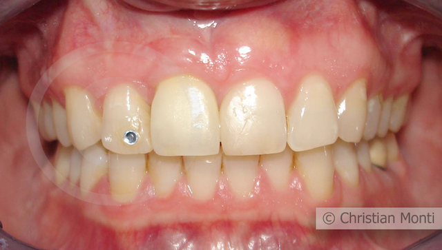
EDENTULIA SINGOLA
Impianto in sostituzione di un incisivo superiore
Torna ai contenuti
Per poter utilizzare questo sito è necessario attivare JavaScript.